Врач-стоматолог, ортопед, хирург-имплантолог. Стаж 8 лет.
Эстетическая реставрация зубов
Стоимость эстетической реставрации зубов
«Голливудская» улыбка давно стала мечтой каждого человека. Идеально белые зубы, восстановление формы, устранение видимых дефектов уже не роскошь, а банальная необходимость для современного человека. Безупречная улыбка излучает здоровье, белый цвет зубов говорит о чистоплотности человека, имея ровный зубной ряд не стыдно улыбаться всегда и везде.
Реставрация зуба
Для устранения эстетических дефектов зубов подойдет метод реставрации с помощью композитных пломбировочных материалов. Также некоторые врачи называют данную методику «композитные виниры». Преимуществами реставрации зубов является высокая эстетичность, долгий срок эксплуатации, низкая цена. Композитные пломбировочные материалы пластичны в работе, поэтому могут принимать любую форму, закрепляются они при помощи воздействия специальной лампы. С помощью композитного материала (фотополимера) врач подбирает цвет и форму будущего зуба (после согласования с пациентом), поэтому особое значение для создания безукоризненных реставраций зубов отводится мастерству стоматолога.
Цена эстетической реставрации зубов (композитные виниры)
Реставрация зуба в клинике ДЕНТУМ — от 5500 до 10000 руб.!
Для восстановления формы и функции зубов после полного или частичного их разрушения используются различные методы реставрации. Для работы могут применяться пломбировочные композитные материалы или виниры – все зависит от степени повреждения. Сегодня реставрация зуба – это воссоздание его формы, достижение максимальной эстетики. Именно поэтому к процессу все чаще применяются следующие термины: косметическая, эстетическая или художественная реставрация.
Современные методы реставрации
Сегодня используются различные методы восстановления, выбираемые врачом на основании характера повреждений, требований к конечному результату. Все эти методы можно объединить в 2 большие группы:
- Прямая реставрация. Во время работы применяются простые композитные материалы или светоотражающие фотополимеры. Этот метод используется чаще всего, выполняется только стоматологом-терапевтом. Именно о такой реставрации и пойдет речь далее.
- Непрямой метод восстановления. Выполняется протезистами. Во время работы поврежденный зуб требуется препарировать, делать слепок. По этому слепку изготавливается керамический винир, приклеиваемый к сохранившейся части зуба, восстанавливая его форму.
Этапы реставрации зуба
Этапы реставрационных работ включают: подготовка, анестезия, удаление пораженных тканей, изоляция, установка штифта, восстановление формы, финишная обработка.
- Подготовительные работы: Гигиеническая чистка от камня и зубного налета. Подбор естественного цвета пломбировочного композита.
- Анестезия: Выполняется при необходимости, препарат подбирается индивидуально.
- Удаление пораженных тканей: Старая пломба высверливается, пораженные ткани аккуратно удаляются.
- Изоляция тканей зуба: Используется коффердам (латексный платок с отверстием). Предотвращает попадание влаги и повышает долговечность реставрации.
- Установка штифта: Необходим при разрушении коронки более чем наполовину или при удаленном нерве. Фиксирует пломбу и повышает прочность реставрации.
- Восстановление формы: Слоистая реставрация. Наносятся тонкие слои материала с разными оттенками и прозрачностью для имитации натуральной ткани.
- Финишная обработка: Моделирование, шлифовка и полировка пломбы.
Эстетическая реставрация: отзывы пациентов
В некоторых случаях отзывы пациентов могут быть неудовлетворительными из-за оттенка восстановленной части или недостаточной эстетики. Такие моменты говорят о нарушениях технологии, например, реставрация без учета прозрачности материала.
Ключевые моменты реставрации зубов
Эстетическое восстановление включает 3 ключевых момента:
- Форма зуба: Воссоздание бугров, впадин, фиссур. Требуется опыт и художественное чутье стоматолога.
- Цвет зуба: Совпадение оттенка отреставрированной области с соседними зубами. Используются композиты разных оттенков для послойного нанесения.
- Прозрачность: Уровень прозрачности меняется от режущего края к шейке. Материалы подбираются для естественного результата.
Недостатки реставрации зубов
Во время восстановительных работ могут быть выявлены следующие недостатки:
- Область реставрации теряет блеск, цвет, темнеет. Фотополимеры со временем темнеют, как и натуральная эмаль. На жевательных поверхностях это менее заметно, но на лицевой стороне требует замены пломбы каждые несколько лет.
- Поломки реставрации. Риск выше при разрушении зуба более чем наполовину или при удаленном нерве. При больших нагрузках зуб может сломаться.
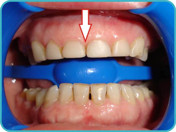
Реставрация потемнела, потеряла блеск, не восстанавливает анатомию переднего зуба
Альтернативные варианты реставрации
- Керамические виниры: Для восстановления передней части зуба. Со временем не теряют блеск и не темнеют. Стоимость высокая.
- Коронки: Керамические или металлокерамические для разрушения более чем на половину или при удаленном нерве. Применяются при сильных нагрузках.
- Вкладки: Для восстановления жевательных поверхностей боковых зубов. Материал — светлый композит. Надежнее и эстетичнее обычной реставрации при обширных повреждениях.
Наши врачи
Акции
Также предлагаем
Бесплатная консультация!
У врачей нет планов продаж и мотивации за назначение. Главная цель — качественная помощь с заботой о пациенте

